Skip to content Skip to sidebar Skip to footer

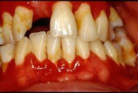
How To Get Rid Of Gum Inflammation - If it is noticed early enough, treating a gum infection will include the same steps as preventing them in the first place.

How To Get Rid Of Gum Inflammation - If it is noticed early enough, treating a gum infection will include the same steps as preventing them in the first place.. A red or whitish bump in the gum; Warm and cold compresses warm and cold compresses can provide quick relief for sore, swollen gums as they help reduce pain and swelling. If you want to reduce the inflammation that does occur, gently apply massage gums with a mixture of coconut oil and pink himalayan salt with gauze or cotton wool. If it is noticed early enough, treating a gum infection will include the same steps as preventing them in the first place. Leave the honey to sit on your gums until it naturally washes away.

A red or whitish bump in the gum; While it is highly advisable to see a dentist should your gum abscess be too severe and painful, some highly effective home remedies can help you manage the condition, if not get rid of it entirely. The first step in any type of gum infection is regular and thorough oral hygiene. Think of it as a blowfish puffing up to scare away predators! How to get rid of gum infection.

What Can You Do When The Gum Right Behind Your Front Teeth Is Swollen Quora
What Can You Do When The Gum Right Behind Your Front Teeth Is Swollen Quora from qph.fs.quoracdn.net
Brush less vigorously to avoid damaging the tissue around your teeth, which can inflame gums. However, if it gets out of control, it may require some more in depth procedures to. You can also mix these together to make a tasty remedy that reduces bacteria in the mouth and soothes the inflammation that comes with an infection. Brushing, gargling, and flossing, will usually help your mouth stay clean enough to heal itself in most cases. Lemon juice is also a good natural remedy to treat inflamed gums. At first, the inflammatory process develops without obvious signs, but soon there is bleeding of the gums, pain, body temperature may increase, the tooth may begin to stagger. If you experience pain, your dentist can prescribe pain medication. Get rid of gum infection:

The antibacterial properties that hydrogen peroxide shows will be the real hero in preventing and treating gum boils.

Omega 3s reduce the production of molecules and substances linked to inflammation such as inflammatory eicosanoids and cytokines. Flossing does not kill bacteria. Targeted prophylactic treatment measures focus more on maintaining teeth on a broader basis. The leading cause of gum inflammation is plaque, also known as biofilm. A red or whitish bump in the gum; Age, stress, obesity, tobacco, and genetics can increase your risk. The presence of pus on the red or whitish bump; How to get rid of gum infection. It strengthens the immune system and the body's resistance to infections. Hydrogen peroxide will fight infection simultaneously reducing inflammation and painful gum boils. Dilute this in a glass of warm water and use as a mouth wash every time you brush your teeth during the day. In its early stage, gums may become swollen, red and bleed. In its late stage, the bone that supports the teeth can be lost, and the teeth may loosen or fall out.

Showed that using a salt water rinse can be very beneficial in healing gums inflamed by gingivitis. Lemon juice is also a good natural remedy to treat inflamed gums. Dilute this in a glass of warm water and use as a mouth wash every time you brush your teeth during the day. Brush less vigorously to avoid damaging the tissue around your teeth, which can inflame gums. For reducing the gum inflammation, it is recommended for you to smear or gargle the infected gums by using a mixture of himalayan salt and coconut oil, in which the color is pink.

How To Get Rid Of Gingivitis With Braces Lumineux Oral Essentials
How To Get Rid Of Gingivitis With Braces Lumineux Oral Essentials from cdn.shopify.com
Oral antibiotics can kill the bacteria causing the infection and keep the infection from spreading. Baking soda has antiseptic and antibacterial properties that can help treat the infection causing the swelling. Right at the moment when the symptoms of a gum infection manifest itself, you can start treating it at your home. The first step in any type of gum infection is regular and thorough oral hygiene. Flossing does not kill bacteria. If it is noticed early enough, treating a gum infection will include the same steps as preventing them in the first place. Moreover, using fluoride toothpaste when brushing helps to effectively keep bacteria at bay. While it is highly advisable to see a dentist should your gum abscess be too severe and painful, some highly effective home remedies can help you manage the condition, if not get rid of it entirely.

Leave it for a couple of minutes, and then rinse your mouth with pure water.

Eating a balanced and nutritious diet has the potential to reduce inflammation dramatically. Brushing and flossing regularly is your first line of defense against bacteria. Baking soda has antiseptic and antibacterial properties that can help treat the infection causing the swelling. The first step in any type of gum infection is regular and thorough oral hygiene. Right at the moment when the symptoms of a gum infection manifest itself, you can start treating it at your home. Pour a few small drops of honey onto your finger and rub the honey gently on the infected area. And while you may want to avoid dealing with inflamed gums, being able to recognize and act upon the signs and symptoms of gum disease is. How to get rid of gum infection. In this context, inflammation of the gums can be cured before it has a chance to. A saltwater rinse can soothe gum inflammation and promote healing according to a 2016 study. Age, stress, obesity, tobacco, and genetics can increase your risk. If you've recently started a new one and are. How to treat such a problem, experienced dentists can advise.

To use this, you just need to take a lemon and extract its natural juice. Flossing does not kill bacteria. Get rid of gum infection: With careful cleaning, gum inflammation should subside after a few days. Oral antibiotics can kill the bacteria causing the infection and keep the infection from spreading.

Tackling With Gum Inflammation How To Get Rid Of Swollen Gums
Tackling With Gum Inflammation How To Get Rid Of Swollen Gums from casida.com
If you prefer, you can use the tea as a rinse, but it works just as well if you drink it. Oral antibiotics can kill the bacteria causing the infection and keep the infection from spreading. Brush up on your brushing technique. In its late stage, the bone that supports the teeth can be lost, and the teeth may loosen or fall out. In this context, inflammation of the gums can be cured before it has a chance to. If you experience pain, your dentist can prescribe pain medication. For this, bacterial deposits have to be removed daily. The antibacterial properties that hydrogen peroxide shows will be the real hero in preventing and treating gum boils.

And while you may want to avoid dealing with inflamed gums, being able to recognize and act upon the signs and symptoms of gum disease is.

It strengthens the immune system and the body's resistance to infections. Hold the cooled tea bag on the affected area of your gums and keep it there for about five minutes. You can also mix these together to make a tasty remedy that reduces bacteria in the mouth and soothes the inflammation that comes with an infection. However, if it gets out of control, it may require some more in depth procedures to. You can start treating the inflammation by taking the following steps to get your gums and mouth back in good health. How to treat such a problem, experienced dentists can advise. Get rid of gum infection: How to get rid of gum infection. Antibiotic medications are another key part of the standard treatment process for a gum abscess. Try not to get too much honey on your teeth, as it is high in sugar, which can erode your enamel. Right at the moment when the symptoms of a gum infection manifest itself, you can start treating it at your home. Brushing does not kill bacteria. The leading cause of swollen gums is gingivitis.